山形市歯科医師会と山形市が共催での、8020運動「歯の長寿賞」表彰式が行われています。参加された皆さんは、やはり大変お元気な方ばかりでしたね。 歯の健康は健康長寿の鍵です。
アトラクションとして、山大の学生の合唱が披露されました。 美声が心地よかったです。
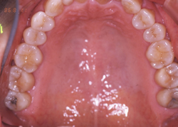
case1
8020運動「歯の長寿賞」を受賞された方の口腔内写真です。歯はもちろんのこと、歯ぐきもピンクでとてもきれいでした。そして大変お元気な、健康的な方でした。




case2
この方も、とても若々しく活発な方でした。

