
歯周病の進行は非常に遅いため、普段の口腔内の変化にはなかなか気がつきません。気づかないうちに、歯周病は進行し、多くの人が、歯槽骨が吸収して歯が動くのを感じてから初めて症状を自覚します。さらに歯周病は口腔内だけではなく、全身にも影響を及ぼすことが最近分かってきました。歯周病菌そのものは強い病原性を持っているわけではありませんが、菌が歯周炎を起こした歯肉から血液に入りやすい状態になり、全身疾患の原因にもなりえます。
| 歯肉炎 | ![]() |
| 歯肉(歯ぐき)が赤く腫れます。歯磨きや食事の際に出血することもあります。 |
| 歯周炎 | ![]() |
| 歯と歯肉の間が広くなり隙間になり、出血したり膿が出ます。口臭が起こる場合があります。 |
| 歯が抜けてしまう | ![]() |
| 歯槽骨が溶けてしまうことで、歯を支えられなくなり根元が見えてきます。後に歯が抜けてしまいます。 |
健康な歯です。色もきれいなピンクでひきしまっています。
この歯も健康ですね。
これは歯と歯肉の境目にプラークがたまって、歯肉に炎症が起きています。歯肉が赤く腫れてきてますね。ブラッシングでプラークをとることが大切です。
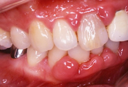
表面的には歯ぐきも下がっていませんが、ポケットが深くなっていて歯肉炎の状態です。症状はないのですが、あなどれません。
これも一見なんともないようにも見えますが、歯肉炎がかなり進行しています。歯も結構グラグラします。
レントゲン写真で見ると、歯槽骨が大分へっていて、歯の支えがなくなっているのが分かります。
場合によっては歯肉が垂れてきたりもしますので注意が必要です。
歯周病の予防も治療も基本的にはブラッシングが大事です。ハブラシの持ち方はペングリップですね。
毛先の当て方は歯面に対して直角です。そして小きざみに振動させます。軽い力でていねいに磨きます。
また、毛先を歯肉に45度の角度で当てて歯肉マッサージを期待する方法もありますね。